Paid Post

Eine gerade Zahnstellung wirkt positiv auf deine Gesundheit

Hättest du gedacht, dass eine Zahnfehlstellung der Grund für Kopf- und Rückenschmerzen sein könnte? Wie Zahnkorrekturen mit Aligner neben gutem Aussehen deine Gesundheit positiv beeinflussen können.

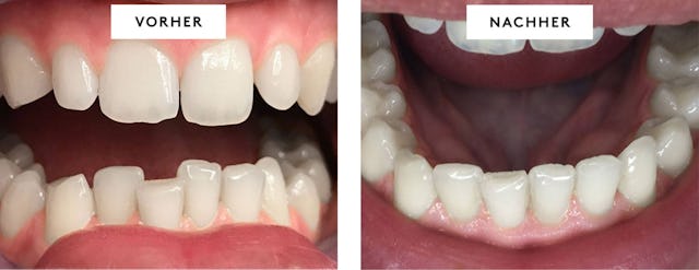
Das Ergebnis von Zahnkorrekturen mit dem transparenten bestsmile Aligner kann sich sehen lassen. Keiner bemerkt während des Tragens der durchsichtigen Zahnspange, dass du an einem schönen Lächeln arbeitest. Doch was du vielleicht noch nicht wusstest: du tust gleichzeitig auch deiner Gesundheit etwas Gutes.

Der bestsmile Aligner. Ein durchsichtiges Multi-Talent.
Der bestsmile Aligner. Ein durchsichtiges Multi-Talent.

Kopf- und Rückenschmerzen können ihre Ursache auch im Kiefer haben. Eine Zahnfehlstellung sieht nicht nur unschön aus, sie bringt auch deinen Körper aus der Balance. Dein Kiefer reagiert mit Ausweichbewegungen. Dies kann zu allgemeinen Verspannungen führen. ​Wie stark deine Fehlstellung ist, können die bestsmile Zahnärzte mit einem 3D-Scan herausfinden. Sie helfen dir, deine Zähne zu korrigieren.

Auch die Mundhygiene ist wichtig für deine Gesundheit. Wenn deine Kiefer nicht optimal aufeinanderliegen, weil du eine Fehlstellung hast, bist du beispielsweise leichter anfällig für Bakterien. Eine Zahnkorrektur mit bestsmile Aligner ermöglicht dir eine idealere Mundhygiene, unter anderem weil Zahnbürste und Zahnseide besseren Zugang haben. bestsmile Aligner sind komplett herausnehmbar, was die beste Voraussetzung für eine gründliche Reinigung von Zähnen und Alignern ist. Wer ein schönes und strahlendes Lächeln hat, gibt sich ausserdem automatisch mehr Mühe, dieses aufrechtzuerhalten. Dadurch steigert sich also auch deine Mundhygiene.

Zwölf Schienen, sechs Monate Behandlungszeit
Zwölf Schienen, sechs Monate Behandlungszeit

So funktionierts

  • Wechsle die bestsmile Aligner alle zwei Wochen

  • Für ein optimales Ergebnis trägst du sie ungefähr 22 Stunden pro Tag

  • Zum Essen und Trinken nimmst du sie ganz einfach heraus

  • Trage die Retainer Schiene, um deine neue Zahnstellung beizubehalten

  • Die durchschnittliche Zahnkorrektur dauert zirka drei bis zwölf Monate

Nichts einfacher als das! Wähle online deinen ​Gratis Termin​. In unseren Praxen beraten dich fachkundige Zahnärzte und machen einen 3D-Scan deines Gebisses. Zur Erstellung des Behandlungsplans machst du eine Anzahlung von 99 Franken. Alle anderen zahnärztlichen Dienstleistungen sind kostenlos.

Beim zweiten Termin bespricht der Zahnarzt mit dir deinen individuellen Behandlungsplan. Bereits vor deiner Behandlung siehst du dank der 3D-Animation die Korrektur deiner Zähne.

In unserer Schweizer Produktion stellen wir deine durchsichtigen Aligner her. Nach zwei bis drei Wochen kannst du die bestsmile Box in der Praxis abholen, wo dir unsere Zahnärzte eine kurze Instruktion geben.

bestsmile Zahnkorrektur. swiss made.


Single Set:

Korrektur des Ober- oder Unterkiefers
Ab 1990 Franken (ab 95 Franken / Monat*)


Double Set:

Korrektur beider Kiefer
Ab 2990 Franken (ab 145 Franken / Monat*)


*Bei Ratenzahlung: 1% Zins auf Restbetrag pro Monat.

**Einmalig 99 Franken für den persönlichen Behandlungsplan. Dieser Betrag wird bei Vertragsabschluss gutgeschrieben.

Schweizweit in deiner Nähe

Paid Post

Paid Posts werden von unseren Kunden oder von Commercial Publishing in deren Auftrag erstellt. Sie sind nicht Teil des redaktionellen Angebots.