Paid Post

Zahnkorrektur mit transparentem Aligner

In kurzer Zeit können Zähne mit transparenten Zahnspangen korrigiert werden. Ein Blick in die bestsmile Praxis zeigt, was bei 3D-Scan und Simulation eines neuen Lächelns passiert.

bestsmile ist anders als andere Zahnarztpraxen und bietet seinen Patienten ein neues Erlebnis bei Zahnkorrekturen. Die bestsmile Praxen erscheinen im boutiqueähnlichen Stil, die Patienten fühlen sich sofort wohl und werden kompetent beraten. Modernste Technologien wie der 3D-Scan kommen bei der Behandlung zum Einsatz. Was in den ersten beiden Terminen genau passiert, zeigt Zahnarzt Dr. Christian Patai in einer bestsmile Praxis vor Ort. Die Behandlung beginnt immer mit einem kostenlosen Beratungstermin.

bestsmile Zahnarzt Christian zeigt den Ablauf bei einer Aligner-Behandlung.

Zahnlücken oder Zahnfehlstellungen werden mit dem bestsmile Aligner in nur 3-12 Monaten korrigiert. Die transparente Zahnspange ermöglicht es den Patienten zum Wunsch-Lächeln zu gelangen, ohne dass andere es bemerken. Die Aligner sind jederzeit herausnehmbar und dadurch einfacher und besser zu reinigen als herkömmliche Zahnspangen. Somit sind sie ideal im Alltag, Job oder Urlaub zu integrieren.

bestsmile Aligner sind swiss made und werden in Winterthur produziert, die Praxen sind schweizweit in deiner Nähe vertreten und damit leicht für jeden erreichbar. Auch die Ergebnisse der Zahnkorrekturen können sich sehen lassen und bleiben den Patienten auch nach der Behandlung langfristig erhalten.

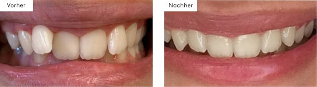
12 Schienen, 6 Monate Behandlungszeit
12 Schienen, 6 Monate Behandlungszeit

So funktionierts

  • Wechsle die bestsmile Aligner alle zwei Wochen

  • Für ein optimales Ergebnis trägst du sie ca. 22h/Tag

  • Zum Essen und Trinken nimmst du sie ganz einfach heraus

  • Trage die Retainer Schiene, um deine neue Zahnstellung beizubehalten

  • Die durchschnittliche Zahnkorrektur dauert ca. 3-12 Monate

Nichts einfacher als das! Wähle online deinen Gratis Termin. In unseren Praxen beraten dich fachkundige Zahnärzte und machen einen 3D-Scan deines Gebisses. Zur Erstellung des Behandlungsplans machst du eine Anzahlung von 99 Franken. Alle anderen zahnärztlichen Dienstleistungen sind kostenlos.

Beim zweiten Termin bespricht der Zahnarzt mit dir deinen individuellen Behandlungsplan. Bereits vor deiner Behandlung siehst du dank der 3D-Animation die Korrektur deiner Zähne.

In unserer Schweizer Produktion stellen wir deine durchsichtigen Aligner her. Nach 2-3 Wochen kannst du die bestsmile Box in der Praxis abholen, wo dir unsere Zahnärzte eine kurze Instruktion geben.

bestsmile Zahnkorrektur. swiss made.


Single Set:

Korrektur des Ober- oder Unterkiefers
Ab 1990 Franken (ab 95 Franken / Monat*)


Double Set:

Korrektur beider Kiefer
Ab 2990 Franken (ab 145 Franken / Monat*)


Alle Termine und Beratungen sind kostenlos.**

*Bei Ratenzahlung: 1% Zins auf Restbetrag pro Monat.

**Einmalig 99 Franken für den persönlichen Behandlungsplan. Dieser Betrag wird bei Vertragsabschluss gutgeschrieben.

Schweizweit in deiner Nähe

Paid Post

Paid Posts werden von unseren Kunden oder von Commercial Publishing in deren Auftrag erstellt. Sie sind nicht Teil des redaktionellen Angebots.