Paid Post

Neues Selbstbewusstsein dank Zahnkorrektur

Viele Menschen fühlen sich wegen unschöner Zähne weniger selbstbewusst. Das hat Auswirkungen auf Alltag und Karriere. Eine Zahnkorrektur mit durchsichtigen Aligner kann dieses Problem einfach lösen.

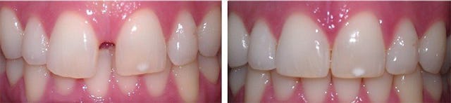
Laura ist 22 Jahre alt und arbeitet als Verkäuferin in der Kosmetikabteilung eines Warengeschäfts. Thomas ist 50 Jahre alt und ist Wirtschaftsinformatiker in einer renommierten Bank. Die beiden verbindet eine Leidensgeschichte: Sie fühlen sich aufgrund einer Zahnfehlstellung in ihrem Berufsleben eingeschränkt. Laura stört sich an der grossen Lücke zwischen ihren oberen Schneidezähnen: «Immer, wenn ich einen auffälligen Lippenstift präsentieren soll, fühle ich mich den ganzen Tag unsicher, weil mein grösster Makel betont wird.» Thomas geniert sich wegen seiner schiefen Zähne: «Meine Unsicherheit deswegen ist so gross, dass ich mich kaum getraut habe, die Stelle als Abteilungsleiter anzunehmen.»

Schöne Zähne als Erfolgsfaktor

Tatsächlich deuten verschiedene Studien darauf hin, dass schöne und weisse Zähne zu beruflichem Erfolg verhelfen können. Menschen mit einem makellosen Lächeln wirken demnach attraktiver, intelligenter und beliebter als Menschen mit schiefen und verfärbten Zähnen. Perfekte Zähne strahlen neben Schönheit und Gesundheit auch Kompetenz, Stärke und Glaubwürdigkeit aus. Das führt dazu, dass Besitzer eines schönen Gebisses höhere Karrierechancen haben: Sie punkten in der Kommunikation, erhalten mehr Lohn und steigen schneller auf. Diese Studienergebnisse decken sich mit den Erfahrungen von Laura und Thomas.

Neues Selbstbewusstsein nach Zahnkorrektur

Beide haben ihre Zahnfehlstellung mit der transparenten Smiletogo Zahnspange von ForYouFirst, einem Schweizer Produkt, korrigieren lassen. «Diese dünnen, durchsichtigen Kunststoffschienen sind im Gegensatz zu herkömmlichen Metall-Zahnspangen kaum sichtbar und können beim Essen und Trinken herausgenommen werden», erklärt Thomas seine Wahl. Er hat seine neue Stelle als Abteilungsleiter noch während der Behandlung angetreten. Auch Laura konnte die Zahnschiene problemlos im Alltag tragen: «Ich habe die Zahnspange kaum gespürt. Trotzdem war sie sehr wirksam. Meine Zahnlücke wurde schnell kleiner – und mein Selbstbewusstsein grösser!» Heute ist sie die rechte Hand ihrer Chefin.

Hallo Traumlächeln! Die 4 Gründe für Smiletogo Aligners
Alle Vorteile von Smiletogo Alignern auf einen Blick
1. Schnell, einfach & unauffällig
2. Experten, mit dem Blick fürs Wesentliche
3. Qualität zu einem fairen Preis
4. Beeindruckende Ergebnisse in wenigen Monaten
Spieglein, Spieglein an der Wand…wer hat die schönsten Zähne im Land? Die Antwort darauf gibt dir gerne dein Smiletogo Zahnarzt in deiner Nähe. Jetzt...
1 / 7
Hallo Traumlächeln! Die 4 Gründe für Smiletogo Aligners
2 / 7
Alle Vorteile von Smiletogo Alignern auf einen Blick
3 / 7
1. Schnell, einfach & unauffällig
4 / 7
2. Experten, mit dem Blick fürs Wesentliche
5 / 7
3. Qualität zu einem fairen Preis
6 / 7
4. Beeindruckende Ergebnisse in wenigen Monaten
7 / 7
Spieglein, Spieglein an der Wand…wer hat die schönsten Zähne im Land? Die Antwort darauf gibt dir gerne dein Smiletogo Zahnarzt in deiner Nähe. Jetzt Erstgespräch ausmachen und kostenlos beraten lassen.

Die Behandlung: Einfach und preiswert

Hindern deine unvollkommenen Zähne auch dich daran, im Leben weiter zu kommen? Dann buche einfach online einen unverbindlichen und kostenlosen Termin in einem Smiletogo -Zentrum in deiner Nähe. Zahnärzte erstellen mit einem modernen Scanner kontaktlos ein 3D- Modell deiner Zähne und simulieren das mögliche Endresultat. Nach etwa einer Woche sind deine individuell angefertigten, durchsichtigen Zahnkorrekturschienen einsatzbereit und die Reise zu deinem neuen Lächeln kann beginnen.

Für ein perfektes Ergebnis solltest du diese rund 22 Stunden täglich tragen und alle zwei Wochen wechseln. Die ersten Resultate sind bereits nach wenigen Wochen sichtbar. Je nach Komplexität der Fehlstellung dauert die Behandlung drei bis sechs Monate und ist zu einem Fixpreis zu haben. Dieser liegt für ein Ober- und Unterkiefer-Komplettpaket im Aktionspaket bei 2'990 Franken. Soll nur ein Kiefer mit Aligner behandelt werden, belaufen sich die Kosten auf 1'990 Franken. Smiletogo ist damit deutlich preiswerter als in herkömmlichen Zahnarztpraxen.

Der Name ist Programm

ForYouFirst ist mit mehr als 2'000 abgeschlossenen Smiletogo Behandlungen einer der grössten Einzelanbieter von transparenten Alignern in der Schweiz. Wie der Name bereits sagt, steht das Lächeln des Kunden dabei an erster Stelle. Die Firma hebt sich durch ihre einfache, ehrliche und diskrete Behandlung von der Konkurrenz ab. Die zahlreichen Rückmeldungen der Kunden sprechen für sich. Die Kunden schätzen vor allem die unkomplizierte Beratung, die effiziente Behandlung und das unschlagbare Preis-Leistungs-Verhältnis. Weitere Erfahrungsberichte und Informationen unter smiletogo.com.

Paid Post

Dieser Beitrag wurde von Commercial Publishing in Zusammenarbeit mit ForYouFirst AG erstellt. Commercial Publishing ist die Unit für Content Marketing, die im Auftrag von 20 Minuten und Tamedia kommerzielle Inhalte produziert.