Paid Post

Warum Veneers immer beliebter werden

Wir kennen es alle: Die meisten Stars haben perfekte Zähne – vor allem schön weiss. Viele von ihnen haben eine Veneers-Behandlung gemacht. So einfach bekommst auch du dein Hollywood-Smile.

Hollywood-Smile mit Veneers

Cristiano Ronaldo, Miley Cyrus, Morgan Freeman und viele weitere – sie alle strahlen mit einem perfekten Lächeln. Der Trend von makellosen, weissen Zähnen ist aber nicht neu. Bereits im Hollywood der 1930er Jahre wurden am Drehtag dünne Kunststoffschalen auf die Zähne der Stars geklebt, um ihnen ein strahlendes Lächeln zu verleihen. Marilyn Monroe soll eine der ersten Stars gewesen sein, die sich hochwertige Veneers dauerhaft einsetzen liess.

Makelloses Lächeln auch für dich

Hollywood-Smile für alle: Zahnverschönerungen mit Veneers sind nicht nur exklusiv für Stars. Innerhalb von 2 Jahren hat sich die Veneers-Nachfrage mehr als verdoppelt. Bei bestsmile, dem Schweizer Marktführer für Zahnkorrekturen, sind die Behandlungen gar auf das Vierfache angestiegen. bestsmile bietet Veneers-Behandlungen zu fairen Preise an, die du auch in monatlichen Raten ab 80 Franken bezahlen kannst. Du siehst sogar vor dem Behandlungsstart, wie dein neues Lächeln aussehen wird.

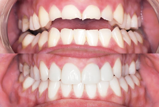
Ergebnisse mit bestsmile Veneers

Hier sind beeindruckende Beispiele von Kundinnen und Kunden, die ihre Zähne mit bestsmile Veneers verschönert haben.

1 / 7
2 / 7
3 / 7
4 / 7
5 / 7
6 / 7
7 / 7

Das können Veneers korrigieren:

bestsmile Veneers bestehen aus hauchdünnem und hochwertigem Keramik. Sie werden bei kosmetischen Makeln eingesetzt und eignen sich vor allem im Bereich der Frontzähne. Hier sind ein paar Beispiele, was Veneers korrigieren können.

1 / 4
2 / 4
3 / 4
4 / 4

So funktionierts:

  1. Termin online wählen: In deiner Nähe. An 36 Standorten schweizweit.

  2. 3D-Scan und Beratung: Lass dich von den ausgebildeten Zahnärztinnen und Zahnärzten beraten.

  3. Besprechung des Behandlungsplans: Anhand des 3D-Scans erstellen die Experten bei bestsmile deinen persönlichen Behandlungsplan für deine Veneers-Behandlung.

  4. Start der Behandlung: Schon bald strahlst du mit deinem Hollywood-Smile!

Paid Post

Dieser werbliche Beitrag wurde von Best Smile AG erstellt. Er wurde von Commercial Publishing, der Unit für Content Marketing, die im Auftrag von 20 Minuten und Tamedia kommerzielle Inhalte produziert, für die Publikation aufbereitet, wobei die Haftung für Inhalte (Wort, Bild) und externe Links bei Best Smile AG liegt.