Wird bei Adent professionell gemacht: die Ausrichtung von Zähnen mit Brackets, die auf die Innenflächen geklebt werden.
Wird bei Adent professionell gemacht: die Ausrichtung von Zähnen mit Brackets, die auf die Innenflächen geklebt werden.
Paid Post

Kieferorthopädie - eine Behandlung nur für Kinder?

Was wäre, wenn alles mit einem neuen Lächeln beginnen würde? Gerade, gut ausgerichtete und leicht zu reinigende Zähne sind auch im Erwachsenenalter ein erreichbares Ziel.

Verwandle dein Lächeln! Profitiere in Zürich von der Expertise der Adent-Kieferorthopädin Dr. med. dent. Eva Johannsen. Sie ist eine Spezialistin für Zahnkorrekturen und bietet verschiedene kieferorthopädische Techniken an, von Standard-Brackets, die auf die Zähne geklebt werden, bis hin zu transparenten Zahnschienen. Eine von der Expertin begleitete Zahnregulierung verhilft dir zu einem ästhetischen und funktionellen Lächeln.

Kieferorthopädische Techniken zur Ausrichtung deiner Zähne

Ausrichtung der Zähne mit transparenten Schienen.
Ausrichtung der Zähne mit transparenten Schienen.

In der Schweiz können etwa 20 Prozent der kieferorthopädischen Behandlungen bei Kindern im Alter von 6 bis 10 Jahren durch frühzeitiges Abfangen ohne Zahnspange durchgeführt werden. Auch Erwachsene können von einer diskreten kieferorthopädischen Behandlung ohne Brackets profitieren. Die Techniken zur Zahnregulierung werden ständig weiterentwickelt und seit einigen Jahren ist es möglich, die Zähne mit Hilfe von transparenten Schienen zu regulieren.

Die Technik der transparenten Aligner: Eleganz auch während der Behandlung

Aligner sind massgefertigte Schienen, die Tag und Nacht getragen werden. Du tauschst sie zu Hause aus, durchschnittlich alle ein bis zwei Wochen. Du besuchst deinen Spezialisten alle 6 bis 8 Wochen, um sicherzustellen, dass die Behandlung korrekt verläuft, bis die gewünschte Position erreicht ist.

Dank der modernen 3D-Bildgebungstechnologie kennst du deinen Behandlungsplan im Voraus, von der Anfangsposition der Zähne bis zur gewünschten Endposition. Am Ende der Behandlung wendest du ein professionelles Zahn-Bleaching an, um dein Lächeln noch strahlender zu machen.

Buche deine erste kieferorthopädische Konsultation online mit nur 3 Klicks.

3D-Bildgebung - intraoraler Scanner mit dreidimensionaler Bildwiedergabe.
3D-Bildgebung - intraoraler Scanner mit dreidimensionaler Bildwiedergabe.

Bleaching: ein Glanzpunkt für einen Neuanfang

Adent bietet zwei Optionen für Bleaching an: in der Praxis für die Eiligen oder zu Hause für ein gründliches und lang anhaltendes Ergebnis mit Schienen, die auf dich zugeschnitten sind.

Das professionelle Zahn-Bleaching mit Schienen bietet signifikante Ergebnisse und garantiert ein zuverlässiges, gründliches Bleaching. Bereits nach einigen Tagen sind die Ergebnisse sichtbar und nach nur zwei Wochen ist die Behandlung abgeschlossen.

Deine persönliche, massgeschneiderte Bleaching-Schiene wird in den internen Dentallaboren des Adent-Netzwerks hergestellt. Bewahre sie auf, denn diese Schienen sind wiederverwendbar. Gesunde, zahnsteinfreie und pathologiefreie Zähne sind eine Voraussetzung für den Beginn einer Bleaching.

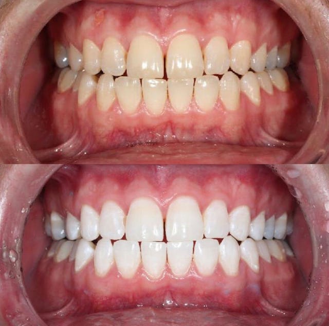
Professionelles Zahnbleaching: vorher/nachher.
Professionelles Zahnbleaching: vorher/nachher.

Im Adent-Zahnarztzentrum Oerlikon findest du alle Behandlungen unter einem Dach. Du kannst den Termin innerhalb von 48 Stunden telefonisch oder über unsere Website buchen.

Paid Post

Dieser werbliche Beitrag wurde von Swiss Dental Group AG erstellt. Er wurde von Commercial Publishing, der Unit für Content Marketing, die im Auftrag von 20 Minuten und Tamedia kommerzielle Inhalte produziert, für die Publikation aufbereitet, wobei die Haftung für Inhalte (Wort, Bild) und externe Links bei Swiss Dental Group AG liegt.