Paid post

Correction dentaire aussi flexible que la vie

Il n’y a plus d’excuse valable pour ne pas aligner ses dents! Pourquoi? Parce que les aligneurs corrigent l’alignement des dents très facilement. Ils peuvent être portés aussi bien au sport, en voyage ou au bureau, et ceci très confortablement.

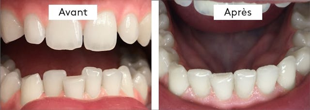
Plaire aux autres avec un beau sourire, c’est le souhait de beaucoup de personnes. La nature n'a pas gâté tout le monde avec de belles dents, mais heureusement il existe des solutions pour y remédier. Avec les aligneurs transparents bestsmile, tu peux corriger tes dents en peu de temps. Un prix abordable, le confort, la discrétion ainsi que son amovibilité en font le traitement le plus en vogue et le plus demandé. De plus, son côté pratique permet à n’importe qui de suivre le traitement. Même si tu as une vie très active, l’Aligner peut être porté dans presque toutes les situations.

Swiss made bestsmile Aligner - à peine visible.
Swiss made bestsmile Aligner - à peine visible.

Les adultes particulièrement craignent de devoir renoncer à leur liberté s'ils optent pour une correction dentaire tardive. Mais il n’en est rien! Il est très facile de porter les gouttières dentaires bestsmile 22 heures par jour, même en faisant du sport ou en voyageant. Les gouttières dentaires sont faites sur mesure et il n’y a aucune crainte à avoir de les perdre éventuellement lors des activités physiques*. Le fait qu’elles soient amovibles te permet de les retirer facilement en cas de besoin.

*à l'exception des sports de contact comme la boxe ou le football

Les gouttières transparentes bestsmile offrent de grands avantages par rapport aux appareils dentaires classiques, ceci également pendant les vacances et même en voyageant. ​Elles sont amovibles et donc faciles à nettoyer. Si tu n’as pas de brosse à dents à porté de main, un simple rinçage à l'eau suffit. Les bestsmile Aligner sont swiss made pour une qualité et un savoir-faire garantis. bestsmile compte actuellement 21 cabinets en Suisse qui sont ainsi faciles d’accès pour tout le monde. Des cabinets dentaires pas comme les autres!

Comment cela fonctionne-t-il?

  • Tu changes d’aligner toutes les deux semaines

  • Tu les portes environ 22h par jour pour un résultat optimal

  • Tu les retires pour manger, boire des boissons chaudes ou sucrées ou pour fumer

  • Tu portes ta gouttière de contention post-traitement la nuit

  • L’alignement dentaire prend en moyenne 3 à 12 mois

Lors de ton premier rendez-vous, le dentiste examine tes dents et effectue un scan 3D afin d’établir un plan de traitement qui te sera présenté au second rendez-vous.

Pour préparer ce plan de traitement, tu dois verser un acompte de 99 francs.

Lors de ton deuxième rendez-vous, le dentiste discute avec toi de ton plan de traitement personnalisé. Avant même d’effectuer ton traitement, tu pourras voir à quoi va ressembler la correction de tes dents grâce une animation 3D.

Lors de ton premier rendez-vous, le dentiste examine tes dents et effectue un Scan 3D afin d’établir un plan de traitement qui te sera présenté au second rendez-vous.

Pour préparer ce plan de traitement, tu dois verser un acompte de 99 francs.

Lors de ton deuxième rendez-vous, le dentiste discute avec toi de ton plan de traitement personnalisé. Avant même d’effectuer ton traitement, tu pourras voir à quoi va ressembler la correction de tes dents grâce une animation 3D.

Tu peux commencer ton traitement dans les 3 semaines qui suivent. Les appareils dentaires sont fabriqués dans le laboratoire bestsmile en Suisse et sont livrés au cabinet où tu pourras venir les chercher. Le dentiste te fera essayer ta première gouttière et t’expliquera comment t’en servir.


Traitement bestsmile. swiss made.


Une mâchoire:

Correction de la mâchoire supérieure ou inférieure

1990 francs (à partir de 95 francs/mois *)


Deux mâchoires:

Correction des deux mâchoires

2990 francs (à partir de 145 francs/mois *)


* +1% d'intérêt par mois en cas de paiement échelonné.

bestsmile, maintenant près de chez toi.

Paid post

Ce contenu a été produit par le Commercial Publishing, en collaboration avec Best Smile AG. Le Commercial Publishing est le département de Content Marketing qui travaille sur mandat de 20 minutes et de Tamedia.