Paid post

Le phénomène facettes dentaires: toujours plus de succès!

Nous le savons bien: la plupart des stars ont des dents parfaites et surtout bien blanches. Beaucoup ont suivi un traitement par facettes. Ce «Hollywood Smile», tu peux l’avoir facilement toi aussi.

Les facettes dentaires, le secret du «Hollywood Smile»

Cristiano Ronaldo, Miley Cyrus, Morgan Freeman et bien d'autres: ils rayonnent tous d'un sourire parfait. La tendance des dents blanches et impeccables n'est toutefois pas nouvelle. Déjà dans le Hollywood des années 30, de fines coques en plastique étaient collées sur les dents des stars le jour du tournage afin de leur donner un sourire éclatant. Marilyn Monroe aurait été l'une des premières stars à se faire poser des facettes dentaires de qualité et de manière permanente.

Un sourire impeccable pour toi aussi!

Un «Hollywood Smile» pour tous: les embellissements dentaires à l’aide de facettes ne sont pas réservés aux stars. En l'espace de deux ans, la demande de facettes dentaires a plus que doublé. Chez bestsmile, le leader suisse de la correction dentaire, les traitements ont même été multipliés par quatre. bestsmile propose des traitements par facettes à des prix équitables, que tu peux aussi payer par mensualités dès 80 francs. Avant de commencer le traitement, nous te montrerons à quoi ressemblera ton nouveau sourire.

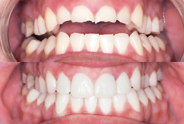
Des résultats impressionnants avec les facettes bestsmile Veneers

Voici des exemples impressionnants de clientes et de clients qui ont sublimé leurs dents grâce aux facettes bestsmile.

1 / 7
2 / 7
3 / 7
4 / 7
5 / 7
6 / 7
7 / 7

Que peuvent corriger les facettes dentaires (Veneers):

Les facettes bestsmile sont composées d'une céramique très fine et de haute qualité. Elles sont utilisées pour les imperfections cosmétiques et conviennent surtout dans la zone des dents de devant. Voici quelques exemples de ce que les facettes peuvent corriger.

1 / 4
2 / 4
3 / 4
4 / 4

Voilà comment ça marche:

  1. Prends rendez-vous en ligne: près de chez toi, avec 36 cabinets dans toute la Suisse.

  2. Rends-toi à ton rendez-vous Scan 3D & Conseil: nos dentistes spécialisés feront le premier diagnostic.

  3. Découvre et discute ton plan de traitement: sur la base du Scan 3D, nous établissons ton plan de traitement par facettes personnalisé.

  4. Commence ton traitement: bientôt, tu rayonneras avec ton «Hollywood Smile»!

* Conditions: Valable uniquement à partir de 6 facettes ou pour Aligner, avec un contrat signé d’ici le 9.9.2022.

Paid post

Ce contenu publicitaire a été réalisé par Best Smile AG et produit par le Commercial Publishing, le département de Content marketing qui travaille sur mandat de 20 minutes et de Tamedia. La responsabilité des contenus (mots, images) et des liens externes incombe à Best Smile AG.