Paid post

As-tu un espace entre les dents?

Un espace entre deux dents se remarque très vite. Ce qui n'est pas un problème pour les uns peut être très gênant pour les autres. Il existe différentes possibilités de combler un espace interdentaire.

Quel est la cause des dents du bonheur?

La raison est souvent un frein de lèvre qui descend trop bas. Mais une disproportion entre la largeur des dents et celle de la mâchoire ou l'absence de certaines dents peuvent également entraîner des espaces entre les dents.

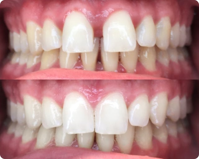
Pourquoi fermer les espaces interdentaires?

Nombreux sont ceux qui considèrent qu'un espace dans la zone des dents de devant est inesthétique. Un diastème dû à plusieurs dents manquantes ou à des espaces interdentaires très prononcés peut avoir des conséquences négatives sur la santé.

Mais avoir un diastème ne devrait pas être un motif d’inquiétude. Car il existe de réelles possibilités de les corriger.

Corrige ton diastème maintenant

Les aligneurs transparents sont la solution idéale pour combler les diastèmes en peu de temps et discrètement. Ils sont aussi indiqués pour beaucoup d’autres malpositions dentaires.

Les aligneurs bestsmile sont disponibles dès 40 francs par mois. Et ce, sans frais cachés, intérêts ou commissions!

Ta première consultation avec Scan 3D est offert. Alors n’hésite pas, fonce!

Fermer un diastème

  • Toutes les 2 semaines, tu passes à l’aligneur suivant.

  • Chaque aligneur dentaire place tes dents un peu plus dans la position souhaitée

  • Ainsi, en 3 à 12 mois, ton diastème disparaît!

bestsmile Teens Aligner

L'appareil dentaire transparent est déjà disponible pour les jeunes dès 11 ans. Choisis un rendez-vous dès maintenant et obtiens des conseils gratuits de la part d'orthodontistes spécialisés.

Avantages d'un traitement par aligneurs bestsmile

  • Peut être retiré à tout moment

  • Quasi invisible et discrets

  • Résultats en peu de temps

1ère consultation offerte

Réserve dès maintenant ton rendez-vous pour te faire conseiller. Les dentistes spécialisés Aligner effectuent un Scan 3D de tes dents et évaluent si tu es apte à recevoir un traitement. Rendez-vous sans aucun engagement.

Paid post

Ce contenu publicitaire a été réalisé par bestsmile et produit par le Commercial Publishing, le département de Content marketing qui travaille sur mandat de 20 minutes et de Tamedia. La responsabilité des contenus (mots, images) et des liens externes incombe à bestsmile.